Вступление
Онкология животных — это одно из наиболее распространённых заболеваний у домашних питомцев. С ней сталкиваются владельцы кошек и собак разного возраста. Заболевание требует внимательного отношения и поэтапного подхода к диагностике и лечению. Развитие онкологических процессов может быть связано с наследственными факторами, возрастными изменениями, условиями содержания и особенностями организма животного. Важно понимать, что внешние признаки не всегда указывают на серьёзное заболевание, но требуют оценки специалиста. Современная ветеринарная практика показывает рост выявляемости онкологических заболеваний. Это связано с увеличением продолжительности жизни питомцев и более внимательным отношением владельцев к их состоянию. Ранняя диагностика играет ключевую роль. Она позволяет определить характер процесса и выбрать оптимальную тактику наблюдения или лечения. Именно поэтому при любых подозрениях важно своевременно обратиться к ветеринарному врачу.
Важная информация
Как проходит диагностика онкологии
Диагностический процесс включает несколько этапов. Каждый из них помогает врачу получить полную картину состояния питомца и принять обоснованное решение.

Когда обратиться

Задачи диагностики

Методы обследования

Дальнейшие шаги
Диагностика онкологии у животных
Диагностика онкологических заболеваний начинается с клинического осмотра и сбора анамнеза. Онкология может маскироваться под кисты, гематомы или воспалительные процессы. Поэтому важно оценить состояние питомца комплексно.
Врач отвечает на несколько ключевых вопросов. Является ли образование опухолью. Каков её характер. Есть ли признаки распространения процесса. Какой прогноз возможен в текущей ситуации.
Какие исследования могут быть назначены
- рентгенография для оценки костных структур и грудной клетки
- ультразвуковое исследование органов брюшной полости
- компьютерная томография для уточнения локализации
- магнитно-резонансная томография по показаниям
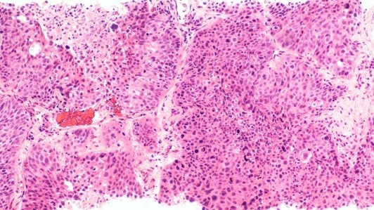
Для определения характера новообразования применяется биопсия. Исследуется биологический материал, полученный с соблюдением стерильности и минимальной травматизации.
Существуют разные виды биопсии. Тонкоигольная используется для цитологии. Толстоигольная позволяет получить больший объём материала. Инцизионная применяется для оценки структуры тканей.
Также используются эндоскопические методы. Гастроскопия и колоноскопия позволяют выявить изменения на ранних стадиях. Дополнительно проводится пальпаторное обследование и лабораторные анализы крови.
Симптомы онкологии у животных
Онкологические заболевания могут проявляться по-разному. Симптомы часто схожи с другими патологиями и не всегда указывают на злокачественный процесс.
Чаще всего владельцы отмечают:
-
снижение активности и вялость
-
потерю аппетита и веса
-
появление уплотнений
-
отёчность конечностей
-
нарушения пищеварения
-
кровянистые выделения
При появлении подобных признаков важно не откладывать консультацию. Раннее обращение повышает эффективность дальнейших действий.
Лечение онкологии у животных
Лечение онкологических заболеваний проводится комплексно. Выбор метода зависит от стадии процесса, типа опухоли и общего состояния питомца.
Хирургическое лечение применяется при возможности удаления новообразования. После операции проводится контроль и наблюдение.
Химиотерапия используется для воздействия на опухолевые клетки. Схема подбирается индивидуально. Метод может применяться самостоятельно или в комплексе.
Лучевая терапия относится к малоинвазивным методам. Она используется при невозможности операции или для повышения эффективности лечения. Курс лечения определяется врачом.
Полезно знать
Часто задаваемые вопросы
Биопсия назначается по показаниям.
Она помогает определить характер новообразования и выбрать тактику лечения. Решение о проведении исследования принимает врач после осмотра.
Возможности лечения зависят от стадии и типа заболевания.
Ранняя диагностика расширяет варианты терапии и контроля болезни. Окончательные выводы делает лечащий врач.


